| Cerclage wires |
Broken trochanteric osteotomy wire |
Smart Toe implants |
 |
 |
 |
 |
| A long stem bipolar hip prosthesis has cerclage wires in the diaphysis of the femur. From Hunter, 1994 |
A cemented total hip arthroplasty has a trochanteric osteotomy fixed with wires. The wire is broken laterally. The arrows point to evidence of polyethylene wear in the acetabulum. From Hunter, 1994 |
71 year-old woman with surgery for recurrent hammertoes. There are Smart Toe implants fusing the right second and third interphalangeal joints. A small cortical screw goes through the second metatarsal neck, and there are K wires in the fourth and fifth toes. |
 |
| Suture anchor (anchor screw) in calcaneus |
Intramedullary rods and nails |
Hip cannulated cancellous fixation screws |
Hip dynamic compression screw |
 |
 |
 |
 |
| |
Locking femoral intramedullary rods: A - reconstruction rods; B - intramedullary hip screw; C - supracondylar rod. From Hunter, 1994 |
|
1- lag screw; 2-compression screw; 3-barrel and side plate. From Hunter, 1994 |
 |
| Cannulated screw with threaded-tipped guide pin and Herbert screw |
Cannulated screws |
ABSOLUTE Interference screw |
Biosure interference screw |
 |
 |
 |
 |
| From Benjamin, 1994 |
Image © Smith & Nephew. Used with permission. |
From DePuy Synthes. © DePuy Synthes 2016. All rights reserved. ABSOLUTE™ is a trademark of DePuy Synthes. |
Image © Smith & Nephew. Used with permission. |
 |
| Endobuttons |
Ulnar hook locking compression plate |
 |
 |
 |
 |
| Image © Smith & Nephew. Used with permission. |
53 year-old woman with distal right radial and ulnar fractures. There is an ulnarly applied hook locking compression plate and screws and a variable angle volar distal radius locking plate and screws. |
 |
| Dynamic compression hip screw |
Dynamic compression hip screw, partially threaded cannulated cancellous fixation screw and washer |
Dynamic compression hip screw
|
 |
 |
 |
 |
| There is also a partially threaded cannulated cancellous fixation screw. |
|
|
|
 |
| Pelvis blade plates |
Anatomically shaped plate |
Blade plate |
Distal femur blade plate |
 |
 |
 |
 |
| There are bilateral proximal femoral varus osteotomies with a pediatric fork osteotomy blade plate on the right and a 90 degree angle pediatric osteotomy blade plate on the left. There is also an intertrochanteric interfragmentary fully threaded Steinman fixation pin (arrow) on the right. From Taljanovic, 2005 |
A specially designed short plate transfixes a tibial proximal osteotomy. The knee is in a hinged brace. Skin staples are present medially. From Taljanovic, 2005 |
A blade plate stabilizes an intertrochanteric fracture. There is a cancellous screw proximally and six cortical screws distally as well as a broken drill bit. From Hunter, 1994 |
95 degree angle blade plate with multiple cortical screws that stabilize a healing non-union femoral diaphyseal fracture with ghost tracks from previous fixation apparatus. The arrow points to bone substitute. There are also skin staples present. From Taljanovic, 2005 |
 |
| Pelvic reconstruction plates |
Neutralization and buttress plates |
Femur blade plate and interfragmentary screw |
One-third tubular plate and screws transfix a distal fibular fracture |
 |
 |
 |
 |
| One reconstruction plate spans the pubic symphysis and the other spans the sacrum. There is fully threaded right sacroiliac joint cortical screw with a washer (top) and a partially threaded right sacroiliac joint cannulated cancellous (bottom) screw with a washer. |
From Hunter, 1994 |
The blade plate and fully threaded interfragmentary screw stabilize an intertrochanteric hip fracture. |
|
 |
| Right femur buttress plate |
Left tibia buttress plate |
 |
 |
 |
 |
| 59 year-old man with healing right distal femur intercondylar fracture |
47 year-old woman with lateral tibial plateau fracture. |
 |
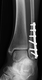
| Periarticular locking plate and Plaster Splint |
Locking low contact dynamic compression plate and screws with two fully threaded syndesmotic screws |
Dynamic compression plate and syndesmotic screw |
Less invasive stabilization system (LISS) plate with fixed angled screws stabilizing a distal femoral diametaphyseal fracture |
 |
 |
 |
 |
| The plate is pre-contoured for use in a periarticular location |
A plaster splint is present about the bimalleolar fracture |
There is a six hole dynamic compression plate and a syndesmotic screw for an acute distal fibular fracture and syndesmotic injury. From Hunter, 1994 |
From Taljanovic, 2005 |
 |
| Buttress fixation plate and bone graft substitute |
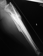
Short hip nail with helical (spiral) blade |
Antegrade intramedullary (IM) hip nail |
Antegrade intramedullary (IM) femur nail |
 |
 |
 |
 |
| 63 year-old woman with lateral tibial plateau fracture treated by a lateral buttress plate and Norian bone graft substitute. |
From Taljanovic, 2005 |
There is also a helical femoral neck screw. From Taljanovic, 2005 |
There is an oblique intertrochanteric locking screw and two distal locking screws. From Taljanovic, 2005 |
 |
| Short hip nail with helical screw and distal interlocking screw |
Dynamic compression plate and syndesmotic screws as well as two fully threaded cortical medial malleolus screws
|
 |
 |
 |
 |
| This stabilizes an intertrochanteric fracture. |
|
|
 |
| (Femur) Trochanteric intramedullary (IM) nail |
Intramedullary tibial nail and fibula Rush rod |
Intramedullary tibial nail with lower extremity wound vac (arrow) |
Blade spiral (helical) distal locking screw |
 |
 |
 |
 |
| There is one proximal and one distal interlocking screw. |
From Taljanovic, 2005 |
Skin staples are present proximally |
There are also two cortical distal locking screws, an intramedullary rod (nail), and skin staples. |
 |
| Anterior cruciate ligament fixation |
Anterior cruciate ligament repair with bioabsorbable tibial interference screw and femoral Endobutton |
Achilles tendon lengthening pin |
 |
 |
 |
 |
| Shown are an "interference screw (Kurosaka screw)" for the anterior cruciate ligament, and fixation staples for the medial collateral ligament and the patellar tendon/tibial tuberosity. |
|
50 year-old woman with chronic juvenile arthritis |
 |
| Anterior cruciate ligament (ACL) repair with bioabsorbable tibial interference screw and Endobutton
|
Antibiotic beads |
 |
 |
 |
 |
| 29 year-old man with ACL reconstruction. immediate postoperative images with soft tissue and intra-articular gas from the recent surgery. There is also a fully threaded tibial tuberosity cortical screw.
|
The antibiotic laden cement beads were placed in an area of infected bone after an open fracture. A periarticular locking plate is in the distal femur, and a buttress plate and interfragmentary screws are in the tibia. |
 |
| Tibial antibiotic rod |
Right tibia periarticular locking plate and bone substitute
|
 |
 |
 |
 |
| AP view |
Lateral view |
There is a ghost track in the calcaneus
|