Medical Apparatus: Imaging Guide to Orthopedic Devices
HOME | ABOUT | CONTACT US

Neck & Spine

Overlying Materials

Neck Apparatus

Cervical Spine

Thoracic and Lumbar Spine

References

 

 

 

Medical Devices of the Neck & Spine...cervical spine


by Tim B Hunter, MD, MSc and Mihra S Taljanovic, MD, PhD

 

Bone Grafts and Bone Fusion (see also fracture fixation - Bones Grafts and Bone Substitue)

Most spine surgery requires bony fusion across a diseased segment or around spinal fixation apparatus. If this fusion is not successful, the surgical result is usually poor. The spinal hardware serves as an internal brace to stabilize the spine until solid bony fusion is obtained (Winegar, 2019). Typically, native vertebral bone is decorticated at surgery upon which bone graft, either autograft or allograft, or bone substitute is placed on a bleeding vascularized bed created by the bony decortication.

Bony fusion can be divided into 5 stages (Winegar, 2019): 1) initial inflammation and 2) vascularization of forming fibrovascular stroma which are followed by 3) osteoinduction, 4) osteoconduction, and 5) remodeling. Osteoinduction is the differentiation of stem cells into osteoblasts and chondroblasts leading to new bone growth. Osteoconduction replaces the bone graft and incorporates new bone into the adjacent native bone. Remodeling thickens a cortical rim at the margin of the fusion strengthening the resulting construct.

Most bone grafting is with allogenic cadaveric bone. Autologous bone grafts gives better fusion rates, but there may be limited sites for bone harvesting due to poor native bone quality. The associated morbidity af graft donor sites is the main limiting factor for use of autologous bone grafts. This morbidity includes severe pain, hemorrhage, hematoma formation, postoperative pathologic fracture, and infection or generalized sepsis. Allogenic bone grafting generally reduces surgical time with less morbidity.

 

Cervical Spine Instrumentation

 

Anterior and Posterior Cervical Plates

Approximately 1.2 million spine surgeries are performed annually in the United States. General indications for spinal surgery are degenerative disease, trauma, spinal tumors, and spinal infection.

Surgical fusion is a common treatment for cervical spine disk disease not amenable to more conservative therapy. Modern techniques with fixation stabilization hardware and disk replacement are designed to reduce the development of adjacent segment degeneration which often occur after spinal fusion (North, 2012; Pescavage-Thomas, 2014). Goals are to restore and maintain disk space height, to decompress the spinal canal and neural foramina, to maintain normal lordosis and increase the stability of the involved segment. New instrumentation has also been designed to reduce bony non-union and hardware slippage or breakage.

Anterior and posterior cervical fusion plates are used in cervical spine surgery for trauma, tumor, degenerative disease, and inflammatory conditions (Bohler, 1980; Gore, 1986; Crockard, 1990; Larson, 1975; de Oliveira, 1987; Cooper, 1988; Churney, 1991; Lesoin, 1985; Stauffer, 1988; Tippets, 1988). In most instances, anterior cervical fusion plates are used in conjunction with supporting bone grafts (plugs) and dowels as interbody disk spacers, so-called anterior cervical (spine) diskectomy and fusion (ACDF) (figure: anterior cervical fusion plate; figure: anterior cervical disk fusion at C5-6).

The best-known anterior cervical fusion plates are the Caspar plate (Tippets, 1988) and the Orion plate. The term Caspar plate is sometimes used generically to describe any type of anterior cervical fusion plate.

The majority of anterior cervical plates are restricted backout plates. The screws are rigidly affixed to the plate giving only unicortical purchase into the vertebral body (Winegar, 2019). The plate-screw interface may be constrained or semiconstrained, but it is usually difficult to detect such a difference on radiographs. Many devices can have either configuration depeding on the type of screw used. There are even dynamic cervical plates for telescoping of the plate itself increasing pressure on an interbody graft for better bony healing.

There are also zero-profile ACDF systems using a low profile spacer anchored by fixation screws into vertebral bodies above and below the diskectomy level (figure: zero-profile ACDF; figure: DePuy Synthes Zero low profile ACDF). They may produce a lower amount of postoperative dysphagia compared to the more traditional ACDF plates. In general, zero-profile ACDF systems are indicated for single level use only in the anterior cervical spine from C2 to T1. They may have tantalum radiopaque markers to verify placement (figure: Prevail cervical interbody device).

Anterior cervical plates are designed to span two or three vertebral bodies. They are anchored to the underlying vertebral bodies with screws, which should enter the anterior cortex of each vertebral body and be seated in the posterior cortex without impinging on the cord. Ideally, the screws should not enter an adjacent end plate and should be at least 2 mm from the superior and inferior end plates.

Posterior cervical plates are less common than anterior cervical fusion plates but are used commonly in trauma patients (figure: occipital strut and posterior cervical plates). If there is posterior compression of the thecal sac and resection of posterior elements is required, posterior stabilization with a plate and screws provides an excellent means of achieving spinal stability.

Posterior plates limit both extension and flexion, and they are usually attached to the underlying vertebrae by screw fixation to the articular masses. Currently, two major types of plates or rod systems are used posteriorly in the cervical spine: those that are attached through screws placed in the pedicles of the cervical vertebrae and those that are attached through screws placed in the lateral mass of each cervical vertebra.

In the C2 vertebra the pedicles are used for screw placement; in the C3 to C6 vertebrae, lateral mass screws are preferred. The smaller pedicle diameter at these levels is associated with an increased potential risk of pedicle perforation and potential for vertebral artery injury or injury to an exiting nerve root or the spinal cord itself. On imaging lateral mass screws have an upward orientation on lateral radiographs and outward orientation on AP images without extension into the pedicle. Pedicle screws extend more anterior to the lateral mass and into the pedicle with a more horizontal orientation on lateral imaging and inward orientation on AP images (figure: lateral mass and pedicle screws).

The C7 and T1 vertebrae are most suited for placement of pedicle screws (figure: odontoid screw (nail) fixation and posterior cervical plates; figure: anterior and posterior cervical spine fusion; figure: posterior cervical spine fusion from occiput with halo brace). Sometimes more exotic posterior cervical spine fixation may be seen, such as a posterior fixation clamp (figure: cervical spine clamp).

Anterior and posterior cervical fusion plates often consist of Vitallium, an alloy of cobalt, chromium, and molybdenum. Vitallium is less corrosive than stainless steel. It is more compatible with MR imaging than stainless steel, although it will still produce a marked magnetic susceptibility artifact. Cervical fusion plates are not a contraindication to MR imaging, but they can produce troublesome artifacts limiting the usefulness of an examination (Stradiotti, 2009).

Back to Top

Posterior Cervical Spine Wiring

Use of posterior cervical spine wiring is now less common than fixation with anterior cervical fusion plates (Johnson, 1981). Posterior cervical spine wiring is very good for limiting flexion of the spine, and it is less complicated than anterior cervical fusion and plating (figure: posterior cervical spine wiring; figure: odontoid fracture fixation and sublaminar wiring; figure: posterior cervical wire figure of 8). It is poor for preventing spinal rotation and for treating patients who have anterior compression on the thecal sac. Twenty-gage stainless steel wire is used most frequently for posterior cervical spine wiring. There are many variations in the wiring technique. These include wires under the lamina, over the lamina, and through holes drilled in the facets or spinous processes. In addition, intralaminar or spinous bone grafts are sometimes placed to supplement the wires.

 

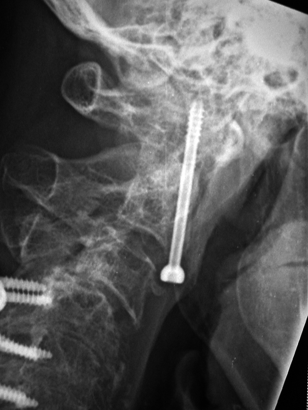
Odontoid Fracture Fixation Devices; Atlantoaxial Subluxation; Traumatic C1-2 Fracture Dislocation

Type 1 odontoid fractures occur at the tip of the odontoid and are stable and heal with conservative treatment. Type 3 odontoid fractures involve the vertebral body of C2 below the level of the odontoid (figure: type III odontoid fracture). They are usually stable and heal adequately. Type 2 odontoid fractures run transversely at the base of the odontoid. They are considered to be unstable and sometimes do not heal adequately with simple external fixation (a halo vest). For these types of fractures, internal fixation may be performed, especially when reduction of the odontoid is needed.

Reduction is generally required if the odontoid fracture fragment is displaced more than 4 mm anteriorly on the body of C2. Posterior cervical fixation wires are commonly used for treating type 2 odontoid fractures (figure: odontoid fracture fixation and sublaminar wiring). They usually achieve satisfactory odontoid fusion, but they may limit neck rotation. Because of this, odontoid fracture fixation may use an odontoid compression screw or nail (Esses, 1991) running caudal to cephalad through the body of C2, the odontoid fracture line, and into the body of the odontoid (figure: odontoid fracture fixation and sublaminar wiring; figure: odontoid screw). On rare occasions, two odontoid fixation screws may be used (figure: two odontoid fixation screws).

Odontoid fracture fixation may be approached either anteriorly or posteriorly (Winegar, 2019). Partially threaded lag screws are used for the anterior approach, because they produce interfragmentary compression and immediate stability. In this case the transverse ligament has to be intact to preserve anteroposterior stability. If a posterior approach is used, there is usually atlantoaxial fusion (figure: type III odontoid fracture). This considerably limits cervical spine movement eliminating normal atlantoaxial rotation and reducing cervical flexion-extension (Winegar, 2019).

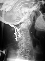
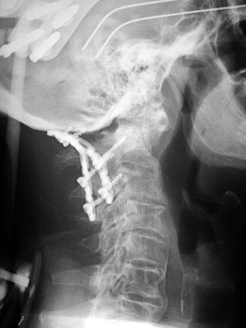
Chronic atlantoaxial subluxation, most commonly seen in patients with advanced rheumatoid arthritis, ankylosing spondylitis, or Downs syndrome, is difficult to treat. There is often poor bone stock, and many patients are not good operative risks due to their chronic disease and the possibility of grievous neurological injury during intubation and general anesthesia. Sometimes, the subluxation is treated with close observation and conservative therapy with neck braces as well as aggressive treatment of the underlying disease. At other times surgical intervention is applied, particularly if there are neurological symptoms. This usually involves posterior stabilization of the upper cervical spine with rods and screws that extend from the upper cervical spine to the occiput (figure: occiput strut). Or, there is C1-2 posterior transarticular fixation with screws and connecting rods frequently with C1 lateral mass and C2 pedicle screws sometimes with associated posterior bone grafting (Xie, 2009).

Traumatic bilateral atlantoaxial dislocations are very rare and less common than hangman fractures at C2-3. There may be a traumatic C2 spondylolisthesis along with a C1-2 rotary subluxation. Patients are initially treated with in a halo crown and vest and then followed by posterior surgical C1, C2, and C3 reduction and fixation (Chaudhary, 2015).

 

Intervertebral Disk Cages; Interbody Fusion Cages; Spine Cages; Titanium Interbody Spacers

The term spine cage or disk cage (spacer) applies to a variety of spinal devices found most commonly in the lumbar spine but also found in the cervical and thoracic spine. The original cages were typically hollow, cylindrical implants placed into a disk space to restore disk height and allow bone growth. The most frequent cages were porous and composed of stainless steel or titanium with autologous bone chips placed inside the cage (figure: lumbar spine disk spacers). It should be noted spine cages (disk cages) can be stand alone or combined with spinal fusion plates and rods. It should also be noted there is considerable overlap in terms and inconsistency in their usage.

In the cervical spine, a bone plug from autograft or allograft material, such as a small cylindrical piece of rib or fibula, may be placed in a disk space and combined with an anterior cervical fusion plate (figure: anterior cervical fusion; figure: anterior and posterior cervical fusion with bone struts).

Vertebral disk cages are nowadays also composed of polyether ether ketone (PEEK) mixed with autologous bone graft (Petscavage-Thomas, 2014) (figure: cervical disk cages; figure: anterior cervical disk fusion at C5-6; figure: anterior cervical fusion C5-7 and PEEK cages; figure: cervical spine PEEK disk cages) or poly (L-lactide-co-D, L-lactide) (PLDLLA), a radiolucent resorbable biopolymer. PEEK has an elasticity closely resembling that of cortical bone, possibly having more load sharing and better stress distribution with more strength than many metals. It does not cause significant artifact on MRI or CT.

Spine cages are most commonly used to maintain foraminal height and spinal decompression whether stand alone or combined with other fixation apparatus (figure: cervical spine intervertebral disk fusion cage; figure: cervical spine artificial disk; figure: cervical spine total disk replacement; figure: Brantigan interbody vertebral cage). The zero-profile systems described above are a form of disk cage with fixation screws for insertion into vertebral bodies above and below the cage (figure: DePuy Synthes Zero low profile ACDF).

Vertebral disk cages like all other spinal fixation apparatus have a potential for complications including non-union, cage migration, infection, foraminal compression, nerve root compression, cord compression, and not uncommonly adjacent segment degeneration from loss of cervical or lumbar lordosis and shift of spine movement to levels where there is no spine fusion (figures: disk cage and ACDF complications). The disk cages may also cause considerable artifacts on MRI and CT imaging (figure: cervical spine MRI disk susceptibility artifact; figure: metal-on-polyethylene cervical disk).

3D printing of cervical disk cages and other devices is now possible. Printed cages can have a more complex design than traditionally casted cages with better internal architecture and structural pores. This may give greater osteoblastic activity and bony ingrowth (Petscavage-Thomas, 2020).

Malignant disease, severe infectious disease, or major trauma to the spine can destroy one or more vertebral bodies. This destruction may be treated with vertebral body resection (corpectomy) and bone grafting combined with placement of a vertebral body “cage” (figure: Harms vertebral cage). The cage may be freestanding or associated with a lateral, anterior, or posterior fixator to give the reconstructed area more strength (figure: cervical corpectomy at C4-5 from diskitis).

These cages are generically called titanium interbody spacers. They are usually manufactured from titanium, which has good strength and good biocompatibility and also produces fewer artifacts on MR images compared with other metals such as stainless steel. These types of vertebral cages have a hollow, threaded, cylindrical structure with teeth on both sides for fixation to vertebral end plates superiorly and inferiorly. The hollow center is usually filled with autograft or allograft bone material to strengthen the fixation and provide later fusion. Many designs exist for the interbody fusion devices, and the designs are evolving. For example, there are newer expandable corpectomy devices for treatment of severe compression fractures or vertebrae collapse due to tumor. The expansion cage along with posterior stabilization screws and rods stabilize the spine to protect the spinal cord. They also restore a degree of vertebral height loss (figure: expandable corpectomy device). Like all fixation apparatus, the disk cages and corpectomy cages may become infected, broken, or displaced (figure: expandable corpectomy cage with shift). Associated fixation screws may become broken or displaced, sometimes into the spinal canal or disk space (figure: thoracic corpectomy with left lateral side plate).

Some of the more popular interbody fusion devices (spacers) used in the thoracic or lumbar spine are the Bagby and Kuslich cage, the Ray threaded fusion Cage, the Harms cage, and the Brantigan cage (figure: Harms vertebral cage; figure: Brantigan interbody vertebral cage; figure: cervical spine fusion cage; figure: thoracic corpectomy with left lateral side plate). The Brantigan cage is designed to be placed through a posterior approach or posterior lumbar interbody fusion. Brantigan cages are composed of high-density carbon fiber, and two cages are placed side by side in a disk space. They are contiguous with bone graft material that is interposed between the vertebral end plates and the cages. These interbody cages are purposely designed to be radiolucent so that the interface between the bone graft and the vertebral end plate is well visualized and not hidden by the supporting cage. The cages are identified on radiographs by a small metallic marker within each cage.

Back to Top

 

Anterior cervical fusion plate Cervical spine fusion cage and anterior cervical fixation plate Cervical spine intervertebral disk fusion cage
Anterior cervical fusion plate - AP view Anterior cervical fusion plate - lateral view Cervical spine fusion cage and anterior cervical fixation plate Cervical spine interverterbral disk fusion cage
53 year-old man with disk herniation. Anterior cervical fusion plate spans C3 to C6. Interbody disk bone plugs (spacers) are present at C3-4, C4-5, and C5-6.    
Zero-P (DePuy Synthes) low Profile anterior interbody fusion device Zero-P (DePuy Synthes) low Profile anterior interbody fusion device  
Zero-P low profile device Zero_P low profile device Zero-P low profice device  
© DePuy Synthes 2016.  All rights reserved. ZERO-P® is a trademark of DePuy Synthes. ZERO-P® is a trademark of DePuy Synthes.  
Anterior Cervical Diskectomy and Fusion (ACDF) C5-7 Secure-C Cervical Artificial Disc (Globus Medical)
ACDF C5-7 AP ACDF C5-7 lateral PEEK interbody fusion disks Secure C cervical disk
    These are titanium coated PEEK disk cages.  
ProDisc-C Total Disc Replacement (DePuy-Synthes)  
Pro Disc cervical disk ProDisc C Prodisc-C cervical disk Prodisc-C cervical disk
© DePuy Synthes 2016.  All rights reserved. ProDisc® C is a trademark of DePuy Synthes. 43 year-old woman with localized disk disease at C5-6
Anterior cervical disk fusion (ACDF) cage at C5-6 Occipital strut with posterior cervical plates Posterior cervical spine clamp Odontoid fracture fixation
ACDF disk cage

Occipital strut with posterior cervical plates

Posterior cervical spinal clamp Odontoid fracture fixation
The disk cage is probably composed of PEEK.   Patient with rheumatoid arthritis and atlantoaxial (C1-C2) subluxation and generalized cervical spine laxity Postoperative lateral radiograph of the cervical spine. There is fixation of an odontoid base fracture by an odontoid screw and a sublaminar wire between C1 and C2. There are also skin staples and a surgical drain in the posterior aspect of the neck.
Odontoid screw (nail) AP view Odontoid screw (nail) lateral view Odontoid screw (nail) fracture fixation with posterior cervical fixation plates and screws [extension view] Odontoid screw (nail) fracture fixation with posterior cervical fixation plates and screws [flexion view]
Odontoid screw AP view Odontoid screw lateral view Odontoid screw (nail) fixation with posterior cervical plates and screws Odontoid nail flexion view
There is also an anterior cervical fusion plate and screws from C3-6.    
Odontoid Fracture Fixation
Type III dens fracture Den fracture fixation device for fusion occiput-C2 Dens fracture fixation from occiput to C2 Dens fracture fixation from occiput to C2
47 year-old woman with type III dens fracture treated by occiput-C2 fusion.
Cervical spine anterior and posterior fusion Cervical spine anterior and posterior fusion with intervertebral bone struts (plugs)
Anterior and posterior cervical spine fusion AP view Anterior and posterior cervical spine fusion lateral view Anterior and cervical spine fusion with intervertebral bone struts Anterior and cervical spine fusion with intervertebral bone struts
Young woman with traumatic locked facets at C6-7 and C7 body fracture. A posterior cervical fusion with lateral mass screws (cervical spine) and pedicle screws (thoracic spine) and rods extends from C4 to T2. There is an anterior cervical fusion plate and screws at C6-7 with a intervertebral disk cage at C6-7 and a crosslink at C6. There is an anterior cervical fusion plate that extends from C3 to C7 and posterior lateral mass screws and rods on each side from C3 to C7. Intervertebral bone struts (plugs) are present at the disk spaces from C3 to C6.

Back to Top

 

Cervical Spine continued...


Author contact information

Tim Hunter
Email: hunter@radiology.arizona.edu


COPYRIGHT 2013: TBH
All Rights Reserved

Publisher Contact Information

Main office: USA (New York)
Cambridge University Press
32 Avenue of the Americas
New York, NY 10013-2473

Phone: (212) 337-5000
Email: newyork@cambridge.org