Medical Apparatus: Imaging Guide to Orthopedic Devices
HOME | ABOUT | CONTACT US

References - Introduction

Biomaterials

Imaging Protocols

 

Medical devices: legal, regulatory, and quality assurance considerations

 

Medical Device Manufacturers

 

 

 

 

Orthopedic medical devices and cross-sectional imaging:
protocols and artifacts continued


by David Melville, MD

 

Magnetic Resonance Imaging

 

Post-operative MR Imaging

As opposed to CT, MRI employs radio waves to create images, and the main magnetic field within the MR scanner establishes a setting which facilitates the absorption and emission of radio-frequency energy from the various tissues throughout the body. Generation of MR images relies on interactions between the magnet, radio-frequency (RF) transmitter and receiver, and gradient coils, as well as an image reconstruction algorithm, to accurately encode spatial localization of MR signal.

Optimal imaging requires a homogeneous magnetic field, and the complex interplay of these components and the imaged patient can result in a multitude of imaging artifacts, particularly in the presence of metallic hardware (Buckwalter, 2011; Zhuo, 2006). By recognizing the appearance of these MR artifacts, potential corrective actions can be undertaken to improve image quality and diagnostic value.

 

Motion Artifact

MR image reconstruction techniques ideally require a completely stationary patient, and motion artifacts are the most common artifact in imaging of the musculoskeletal system as random patient motion and the motion secondary to various physiologic processes, such as breathing, swallowing and peristalsis, is seldom completely controlled during examinations (Singh, 2014).

Motion artifact occurs secondary to the inability of the phase gradient to predictably encode radio waves arising from moving structures (Peh, 2001). The type of motion, speed of movement and magnetic field strength determine the severity of motion artifact, and higher field strength magnets result in more substantial artifacts (Taber, 1998). Image ghosting and smearing are the common artifacts arising from both voluntary and involuntary patient motion (Figure 15) (Wood, 1985). The most effective method to reduce motion-related artifact is imaging with pulse sequences that shorten acquisition time reducing the time interval in which patient motion may affect image quality (Singh, 2014). This has been accomplished with technical advances in MRI by use of stronger gradients, use of multichannel coils and rapid image acquisition and reconstruction techniques, such as single-shot and parallel imaging (Morelli, 2011).

Ensuring patient comfort with an appropriately sized coiled equipped with soft pads between the inner surface of the gradient coil and the patient’s skin while securing the limb with immobilizing devices, such as Velcro straps, will also reduce motion artifact (Singh, 2014). If motion persists despite comfort measures, imaging may be suspended for patient reassurance and conscious sedation may be considered in select patient populations, such as claustrophobic subjects.   

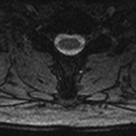
Repetitive, periodic motion can also occur due to cardiac activity or vascular pulsation and result in ghost images propagating along the phase-encoding direction (Peh, 2001). Pulsatile motion amplitude and speed will determine the brightness of this artifact (Wood, 1985). Cardiac or respiratory gating, as well as use of short acquisition times, may be used to minimize the effects of this periodic motion artifact; however, these artifacts are more problematic in cardiac and abdominal MR imaging than in musculoskeletal MR imaging (Singh, 2014). Pulsation artifact from the popliteal artery is a common manifestation of this artifact in musculoskeletal imaging, and may result in obscuration of the menisci (Figure 16).

Similarly, CSF pulsation is another source of motion artifact resulting in phase-encoding directional ghosting within the spinal canal, which may obscure evaluation of the spinal cord and even simulate intradural lesions or mimic vascular flow voids (Singh, 2014; Rubin, 1988). In certain cases, the absence of CSF pulsation artifact has been reported to provide a useful indicator of cord compression (Quint, 1989). This artifact responds poorly to standard periodic motion correction techniques, and is best addressed with use of gradient-echo sequences, which are typically avoided in post-hardware imaging (Peh, 2001; Larsen, 1996).

 

Wraparound Artifact

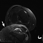
This common MR artifact, also known as aliasing, occurs when imaging with a too small field of view (FOV) that is insufficient to cover the tissues being imaged. The resulting artifact appears as a superimposition of the phase encoded signal from outside and within the FOV giving resultant wraparound of structures on the opposite side of the image (Figure 17). Wraparound artifacts are always encountered in the phase-encoding direction as the MR system oversamples in the frequency encoding direction (Zhuo, 2006).

Wraparound artifact may be simply addressed by employing a larger FOV, but this will result in a reduction of image quality. Saturation pulses can be used to exclude undesirable signal arising from structures outside the FOV, and oversampling techniques can be employed without reduction in image quality (Peh, 2001). With oversampling, the number of phase-encoding steps is automatically doubled along with the FOV along the phase-encoding direction, and the resultant increase in scan time is compensated for by halving the number of excitations with a preserved signal to noise ratio (Arena, 1995). In addition, switching the frequency and phase-encoding direction and imaging with a rectangular FOV can also reduce wraparound artifact. Finally, some MR units are equipped with a “no phase wrap” technique, which can eliminate aliasing by doubling the FOV in the phase-encoding direction and automatically cropping the image to a final square FOV (Singh, 2014; Taber, 1998).

 

Truncation Artifact

Truncation artifact is typically seen at tissue interfaces with an abrupt change in intensity of the MR signal and is also referred to as Gibbs phenomenon or ringing (Czervionke, 1988). This artifact occurs due to undersampling of the several phase-encoding steps of high spatial resolution and is manifested by dark or bright lines occurring parallel to the periphery of the region with abrupt signal intensity shift (Singh, 2014). Truncation artifact commonly occurs at fat-muscle and CSF-spinal cord interfaces and has been reported to simulate spinal cord syrinx or atrophy, intervertebral disc abnormalities, and meniscal tears (Figure 18) (Singh, 2014; Levy, 1988; Bronskill, 1988; Turner, 1991; Breger, 1988). Imaging with at least 192 phase-encodings steps, as well as a smaller FOV with increased matrix size along the phase-encoding direction, can reduce truncation artifacts (Peh, 2001). As with wraparound artifact, truncation may be reduced by switching the phase- and frequency-encoding directions.

 

Shading Artifact

Shading artifact is also known as intensity gradient artifact. It occurs due to nonuniformity of the RF field, resulting in loss of voxel signal intensity in regions of low RF strength, and is frequently seen in the setting of imaging with a surface coil (Singh, 2014; Hyde, 1987). This artifact results in variable image contrast, loss of brightness, and subsequent deterioration of image quality due to decreased RF signal strength in structures located further from the coil, and can be corrected by use of an enclosing coil or a larger surface coil (Figure 19). The presence of this artifact should prompt a change in coil used for the examination, such as a dedicated extremity coil, if possible.

 

Radio-frequency Interference/Zipper Artifact

This MR imaging artifact results from leakage of electromagnetic waves into the MR imaging suite, which can be detected by the receiver coil and interfere with imaging processing or recording (Zhuo, 2006). The consequent image distortion appears as a region of increased noise with linear bands of variable signal intensity traversing the image perpendicular to the frequency-encoding direction.

Sources of RF interference can include electronic devices, fluorescent lights, static discharge, radio broadcasting stations and imaging hardware malfunction (Figure 20) (Peh, 2001). If identified during imaging, the technologist should ensure that the door to the MR suite is tightly sealed to prevent entry of external RF waves, and if the artifact persists, particularly on multiple examinations, the integrity of the suite’s RF shield should be investigated (Singh, 2014).

Back to top

Figure 15 Figure 16 Figure 17 Figure 18A
MRI motion artifact MRI pulsation artifact Wraparound artifact Truncation artifact

Motion Artifact. Degraded image quality of sagittal T1-weighted fat-saturated post-contrast MR image of the foot due to patient motion.

Pulsation Artifact. Axial T2-weighted fat-saturated MR image of the pelvis demonstrates femoral artery pulsation resulting in ghost images (arrowheads) obscuring the anterior labra and simulating femoral head lesions bilaterally.

Wraparound Artifact. Axial proton-density-weighted MR image of the right knee demonstrates wraparound artifact (arrow) of the left knee, which is partially imaged (arrowhead).

Truncation Artifact. (A) Sagittal STIR MR image demonstrates T2 hyperintense line (arrowheads) within the anterior spinal cord due to spinal-cord CSF interface
Figure 18B Figure 19A Figure 19B Figure 20
Truncation artifact Shading artifact Shading artifact Radiofrequency interference artifact
Truncation Artifact. (B) Corresponding axial MEDIC (multi-echo data image combination) MR image demonstrates normal appearance of the spinal cord.

Shading Artifact. (A) Incomplete coil coverage results in dark signal obscuring the soft tissues adjacent to the olecranon at the periphery of sagittal STIR image of the forearm in a patient with cellulitis and concern for abscess. (B) Axial T1-weighted post-contrast fat-saturated image obtained following coil repositioning demonstrates abscess (arrow) in the previously obscured region.

Radio-frequency Interference Artifact. Zipper-like linear bands of increased signal intensity are seen on axial T1-weighted MR image of the hand.

Back to top

Susceptibility Artifact

Susceptibility artifact is the most important artifact occurring in post-operative musculoskeletal imaging, and the occurrence of this artifact is highly dependent on the type of implant or device being imaged. Magnetic susceptibility represents a measure of the extent of magnetization of an object placed in an external magnetic field, and is variable for different tissues and directly proportional to magnetic field strength. Susceptibility artifact results from local magnetic field inhomogeneity at the interface of structures with differing magnetic susceptibilities.

The severity of field inhomogeneity depends upon the interfacing structures, and is most severe adjacent to ferromagnetic materials, such as joint prostheses, fracture fixation hardware, metallic implants, dental prostheses, surgical clips and metallic foreign bodies. The presence of metal implants result in large variations in the precession rate (or resonant frequency) across the object, giving signal loss due to dephasing, resulting in blooming artifact, as well as displacement artifacts. The associated blooming artifact due to signal loss manifests as a black area where there would otherwise be signal distortion of anatomy (Figure 21A). Displacement artifacts occur in the slice selection and readout directions and include geometric distortion, signal loss, and signal pile-up, compounding the artifact due to dephasing.

Along with image distortion and dephasing artifact, the metallic susceptibility artifact results in a shift in resonance frequency of lipid and water resulting in failure of fat suppression, which can obscure soft tissue and marrow edema (Figure 22). Certain fat-supression techniques are more sensitive than others. The most common method employed for suppression is to employ chemically selective saturation. This technique, typically referred to as fat saturation, relies on the fact that fat resonance is 220 Hz below that of water at 1.5 T to selectively suppress fat. In the setting of metallic hardware, surrounding frequency shifts can range from 3 to 80 kHz, resulting in substantial changes in the adjacent fat resonance leading to loss of fat suppression as the saturation pulse completely misses the new resonant fat frequency.

While large metallic implants may substantially degrade image quality as described above, smaller metallic foci can mimic pathology as a result of blooming artifact. Fine metallic debris in post-operative patients can mimic spinal stenosis or bone proliferation as bone and metal both can appear hypointense on certain sequences. In addition, soft tissue and intra-articular gas can result in susceptibility artifact, and it may be difficult to distinguish fine metallic debris from gas in the setting of recent surgery or infection (Figure 21b). Gradient echo sequences can also result in susceptibility artifact where blooming manifests as apparent enlargement of bone with adjacent soft tissues appearing diminutive. The presence of susceptibility artifact can significantly obscure pathology in the post-operative patient and diagnostic evaluation requires dedicated measures to reduce the artifact.

 

Metal Artifact Reduction Techniques

Despite the severity of artifact due to metallic hardware, there are many techniques that can be combined with careful parameter selection to acquire diagnostic images in the post-operative setting. First, as with CT, it is important to understand that the degree of image distortion is dependent on the atomic and molecular structure of materials composing the hardware, as well as the net magnetic field associated with their atoms.

The majority of materials can be classified as diamagnetic, paramagnetic, superparamagnetic, or ferromagnetic (Mitchell, 1999). Iron, nickel and cobalt are examples of ferromagnetic metals used in orthopedic and spine implants, which result in significant magnetic field distortion and most severe susceptibility artifact (White, 2002). To reduce the effects of susceptibility artifact, more implants are being manufactured using paramagnetic metal alloys, like zirconium and titanium, which do not retain magnetization in the absence of an externally applied field and result in significantly less susceptibility artifact (Beltran, 2014). In fact, it has been shown that there is more confidence, less variability and greater interobserver agreement in the evaluation of periprosthetic structures in the setting of zirconium knee arthroplasty compared to cobalt chrome hardware because of decreased artifact (Raphael, 2006).

Metallic orthopedic hardware will induce artifact occurring both in the plane that is being imaged (in-plane artifact) and in adjacent planes (through-plane artifact) due to magnetic susceptibility and eddy currents within the hardware (Lu, 2009). When imaging in the presence of orthopedic hardware there are several MRI parameters which can be modified to reduce susceptibility artifact. First, scanning should be performed at a lower magnetic field strength, as metal-induced artifact is proportional to magnetic field strength with a 3 Tesla magnet producing twice as much susceptibility artifact as a 1.5 Tesla magnet; however, imaging should not be avoided if only a 3 Tesla magnet is available.

Overall, the following parameter alterations should be made: increased bandwidth, enlarged matrix size, reduced slice thickness, and lower time-to-echo. By employing a high readout bandwidth, geometric and in-plane distortion, including signal pile-up and loss, are reduced. In addition, the phase encoding directions should be swapped to reorient the area affected by artifact, which will also serve to reduce in-plane distortion (Sofka, 2003; Potter, 2004).

Distortion effect may also be reduced by increased slice-selection bandwidth. Increased slice-selection bandwidth will result in increased power deposition (or specific absorption rate), which may necessitate longer repetition times (TRs) or fewer interleaved slices per repetition (Hargreaves, 2011). An increased readout bandwidth will result in reduced signal-to-noise ratio (SNR), but this parameter alteration offers a very effective and easy metal artifact reduction technique.

The amount of spatial distortion in the through-slice direction is the ratio of frequency offset to slice bandwidth multiplied by the slice width. By using thinner slices, the amount of through-plane distortion will be reduced, but this is at the cost of increased scan time to cover the region of interest, as well as reduced SNR secondary to decreased voxel size. If possible, the region of interest can be altered to image a smaller region to maintain a shorter scan time. Multiple slices can be averaged during post-processing to reduce effect on SNR.

To reduce signal loss from dephasing, which occurs due to rapid variation in the static magnetic field, spin-echo techniques, including FSE, TSE, and RARE, should be employed. These sequences use a 180° refocusing pulse that reverses static field dephasing. Alternatively, ultrashort echo time (UTE) methods may be considered as they avoid the signal loss in tissues with short T2 relaxation time between excitation and readout seen with spin-echo imaging. They instead employ incredibly short echo times, which minimize time to readout allowing less time for magnetization to diphase, improving structural visualization (Beltran, 2014).

The use of spin-echo methods is the simplest method to dramatically reduce metal-induced artifacts (Hargreaves, 2011). Spin-echo sequences can be combined with different radiofrequency bandwidths for excitation and refocusing pulses resulting in varied displacement for excited and refocused slices in the presence of metal-induced frequency offsets. While spin-echo methods can suppress displacement artifacts, they cost further SNR decrease, as well as potentially increased scan times and larger slice gaps (Hargreaves, 2011; den Harder, 2014).

As discussed, many metal artifact reduction techniques require a SNR trade off, and specific MR imaging techniques have been designed to reduce metal-induced susceptibility artifact while maintaining a high-signal to noise ratio and providing diagnostic fluid-sensitive fat-suppressed images. One such sequence is referred to as multiple-acquisition with variable resonances image combination (MAVRIC), which uses multiple spectrally overlapping nonspatially selective 3D acquisitions to reduce encoding errors present in individual Fourier reconstruction (Koch, 2009; Choi, 2015). Unfortunately, the nonspatially selective excitation results in long acquisition times (den Harder, 2014).

Another metal artifact reduction sequence is referred to as slice encoding for metal artifact correction (SEMAC), which employs view angle tilting (VAT) to ameliorate readout encoding distortions and adds additional phase-encoding steps in the slice-dimension to re-register slice distortions, resulting in correction of both in-plane and through-plane distortion (Lu, 2009).

The WARP sequence is a combination of SEMAC, VAT, and increased bandwidth and can be performed as either a T1-weighted or STIR (short tau inversion) sequence (Sutter, 2012). As opposed to the purely frequency selective MAVRIC, SEMAC is spatially selective with spatial shifts due to frequency (Beltran, 2014). A combination MAVRIC-SEMAC sequence (MAVRIC-SL) has been developed and tested in animal models with superior lesion detection and artifact reduction compared to conventional FSE sequences (Liebl, 2014). Further, combined UTE-MAVRIC sequences are being investigated with the aim to improve detection of post-operative complications related to short T2 tissues adjacent to metal implants, such as osteolysis and tendon/ligament injuries (Carl, 2013).

Despite water excitation working well in the presence of metal, effective fat suppression poses a challenge in the post-operative patient due to the alteration of resonant frequency of adjacent fat. The most common fat suppression technique, chemically (or spectrally) selective fat saturation should be avoided. In particular, gradient recalled echo (GRE) and spin echo spectral fat saturation should be avoided, as they will exaggerate susceptibility artifact not only adjacent to the implanted hardware, but also obscure a large portion of the FOV.

The preferred method for fat suppression during metal artifact reduction imaging is STIR imaging, which relies on the short T1 relaxation time of fat to null its signal. This technique is much less sensitive to magnetic field variation and provides homogeneous fat suppression near metal, but is limited by low SNR ratio due to attenuation of non-fat signal by the inversion pulse, as well as incompatibility with contrast-enhanced imaging, which relies on short T1 relaxation of contrast agents (Figure 23).

Dixon techniques may also be considered, but are thought to be less effective than STIR imaging, as these techniques can track gradual magnetic field variations and provide reasonable fat saturation at a distance from the implanted hardware; however, Dixon techniques will typically fail to suppress fat signal in tissues adjacent to the metal. Given the limitation of STIR imaging, Dixon-based methods likely represent the best option for fat suppression during contrast-enhanced imaging with an understanding that suppression surrounding the hardware will likely fail. See Table 2 for a sample metal artifact reduction MR imaging protocol.

Back to Top

 

MRI and Ultrasound Imaging Protocols continued...

 


Author contact information

Tim Hunter
Email: hunter@radiology.arizona.edu


COPYRIGHT 2013: TBH
All Rights Reserved

Publisher Contact Information

Main office: USA (New York)
Cambridge University Press
32 Avenue of the Americas
New York, NY 10013-2473

Phone: (212) 337-5000
Email: newyork@cambridge.org